Menu
Prodotti

Send & Choose: il nuovo servizio personalizzato per te

HEMATOXYLIN & EOSIN E PAPANICOLAOU – SEND & CHOOSE

#constantinnovation

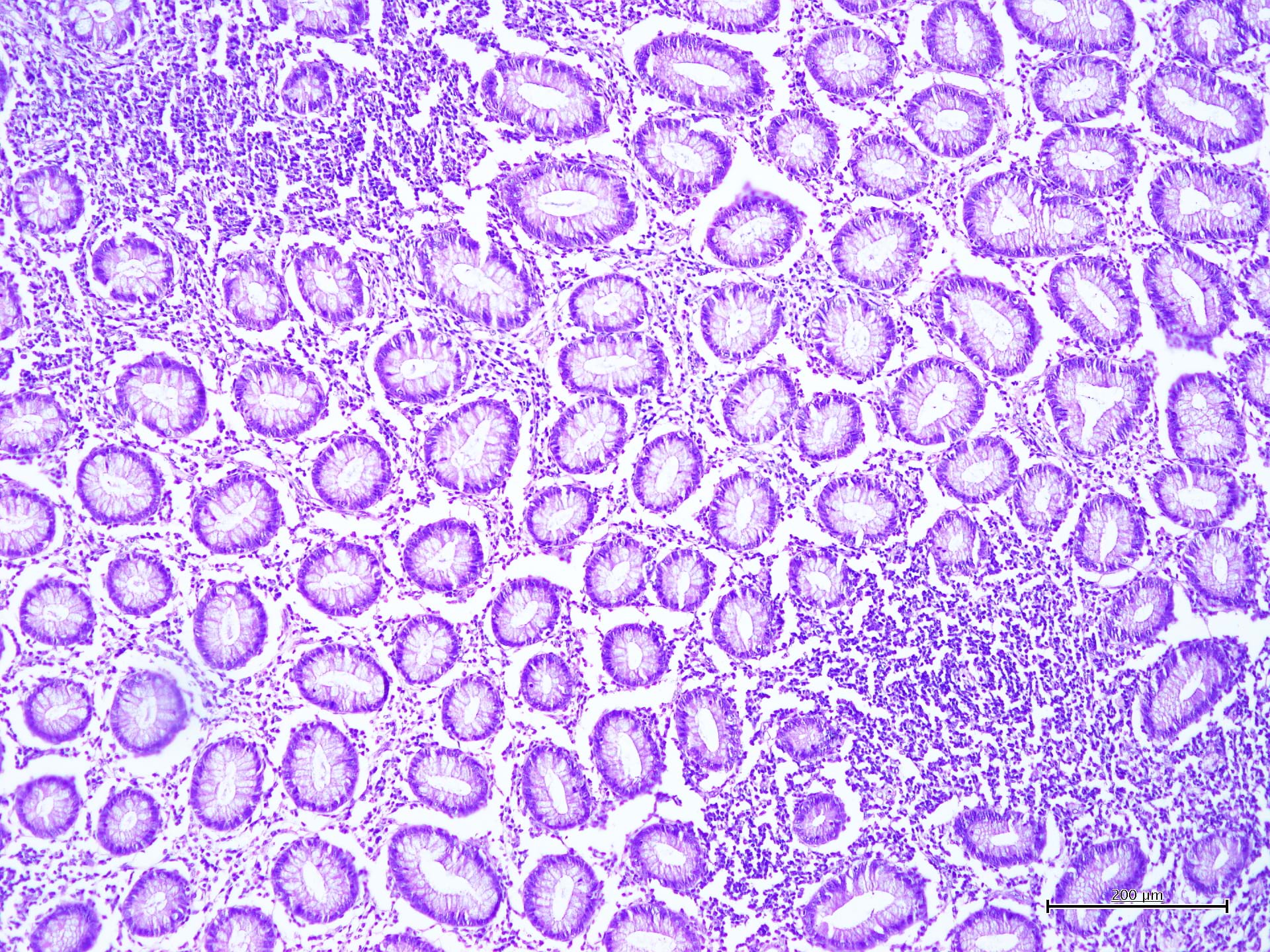
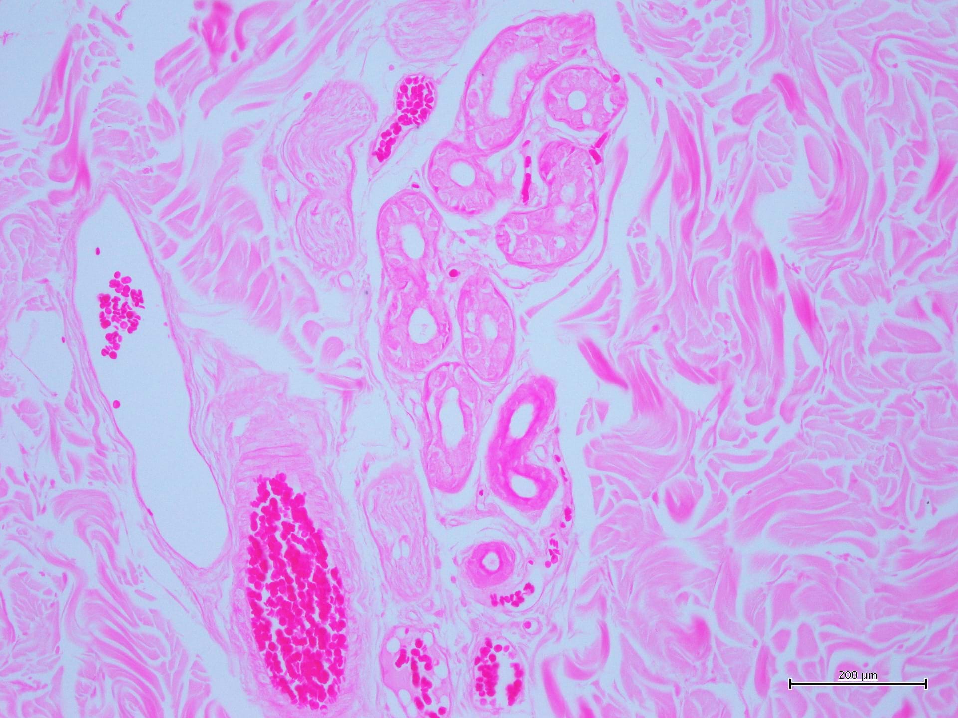
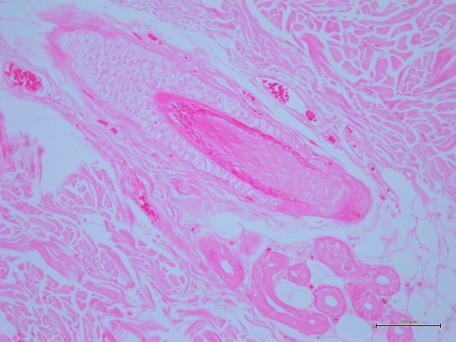
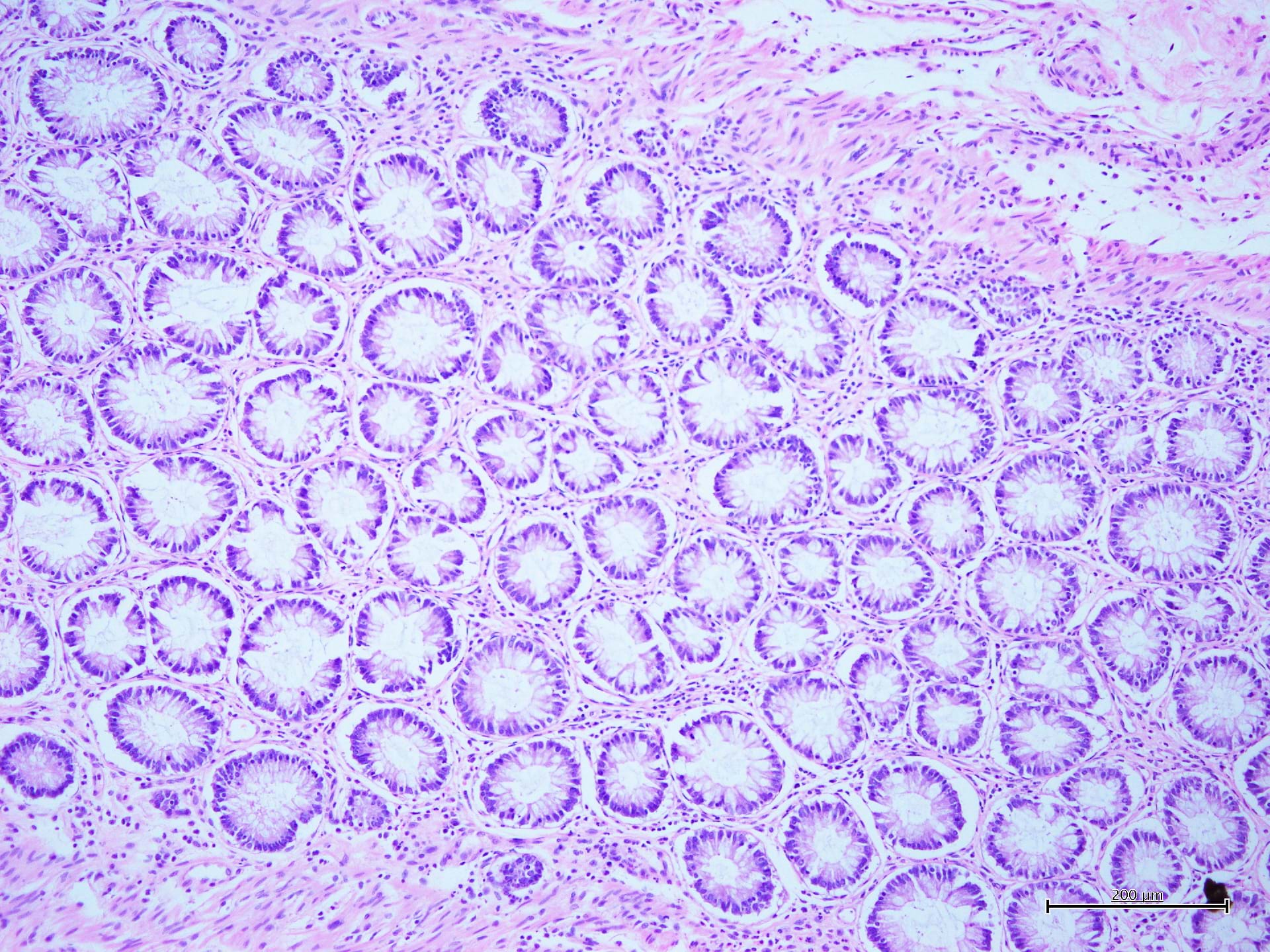
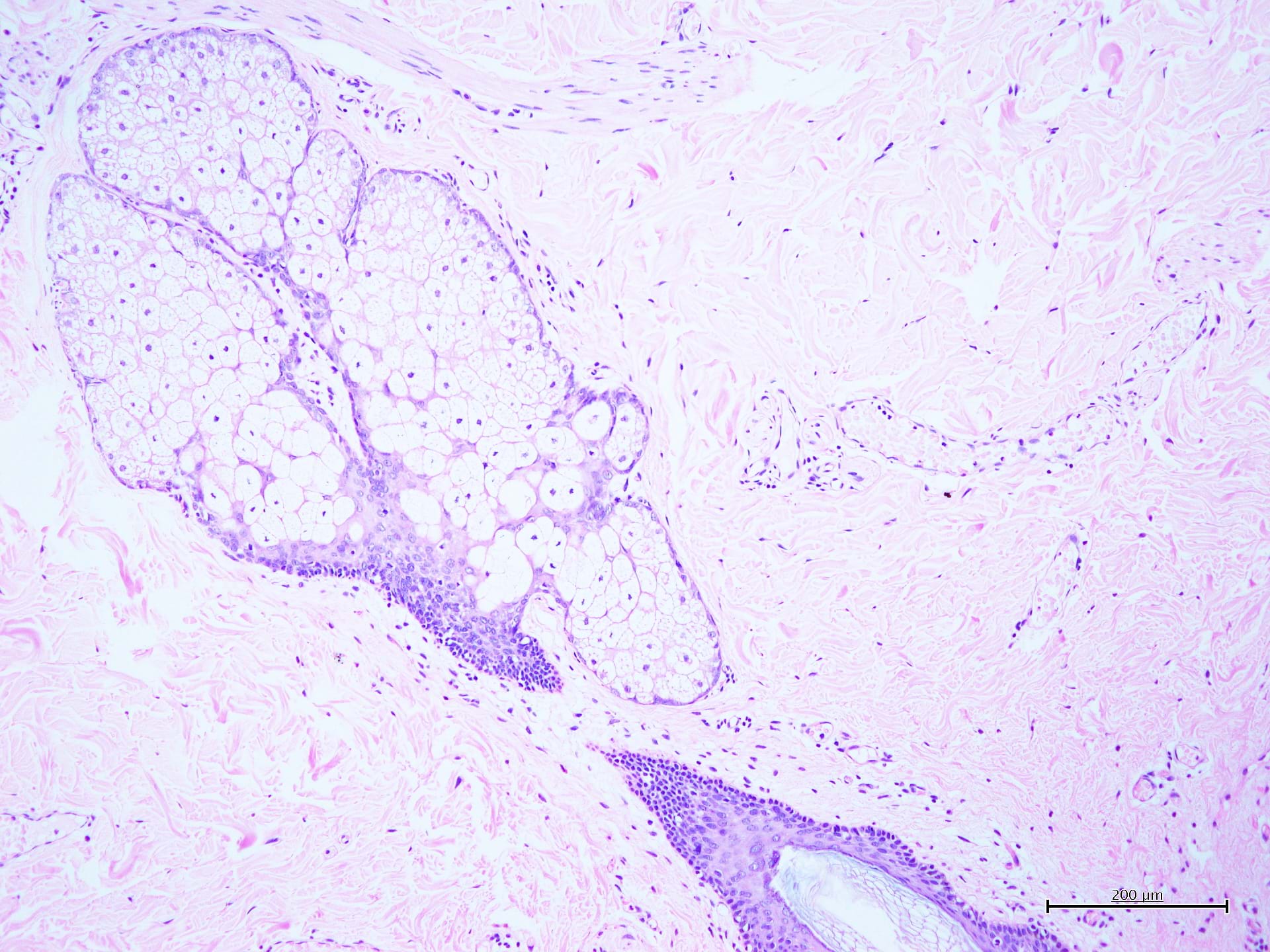
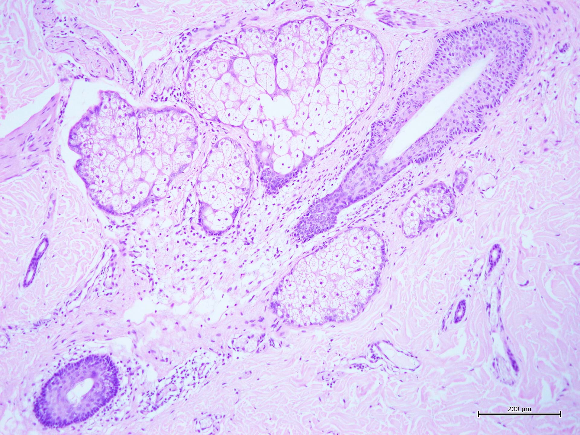
La colorazione Ematossilina – Eosina (H&E) è la colorazione più antica e più utilizzata nei laboratori di Anatomia Patologica di importanza essenziale per la diagnosi ancora oggi. Per questo motivo Diapath S.p.A. offre una gamma di coloranti, sviluppata secondo la letteratura di riferimento ed ottimizzata nell’ottica del costante miglioramento dei prodotti, consentendo di usufruire di eccellenti risultati, valorizzando dettagli nucleari ed enfatizzando gradazioni di intensità delle colorazioni citoplasmatica.

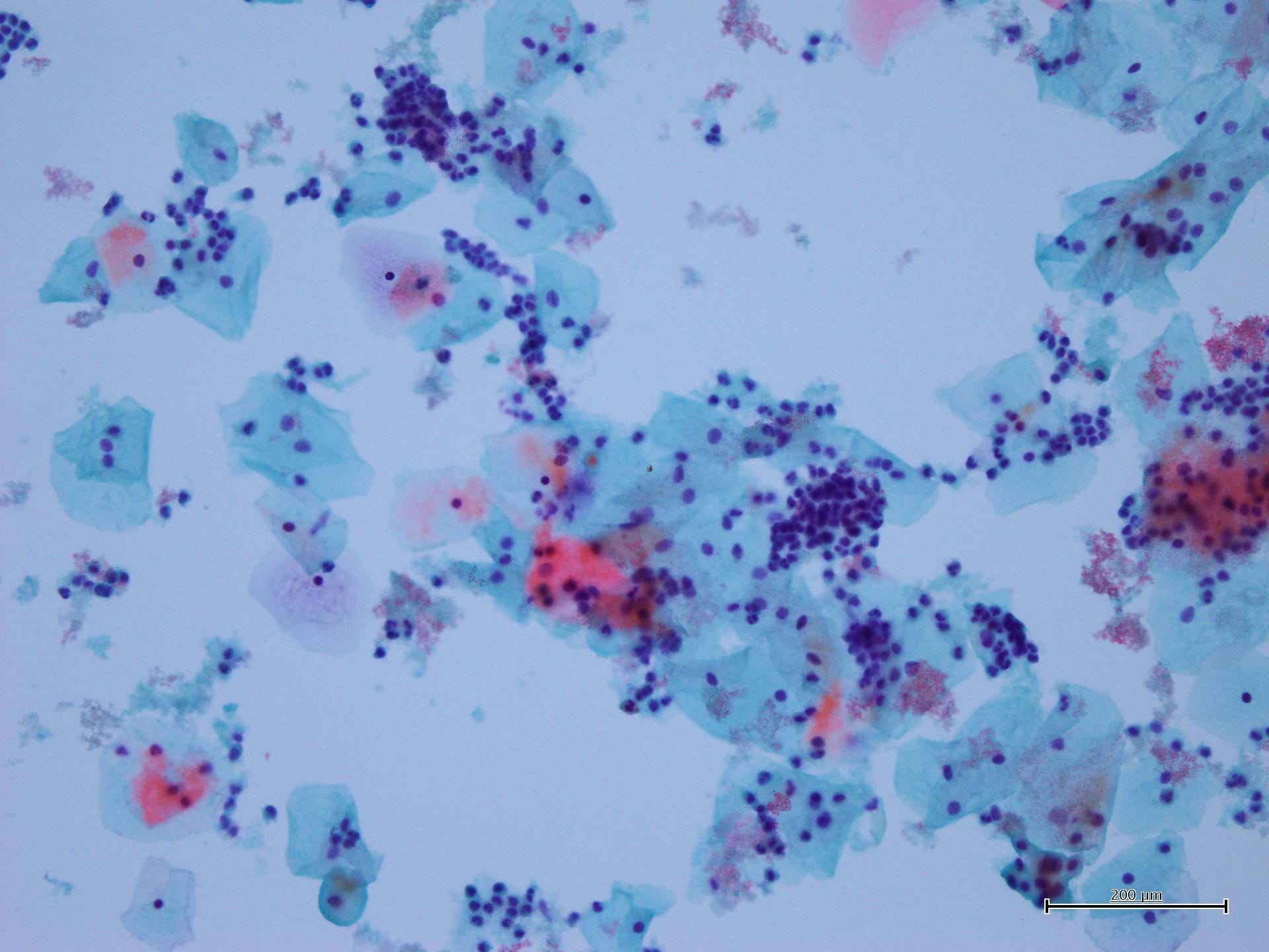
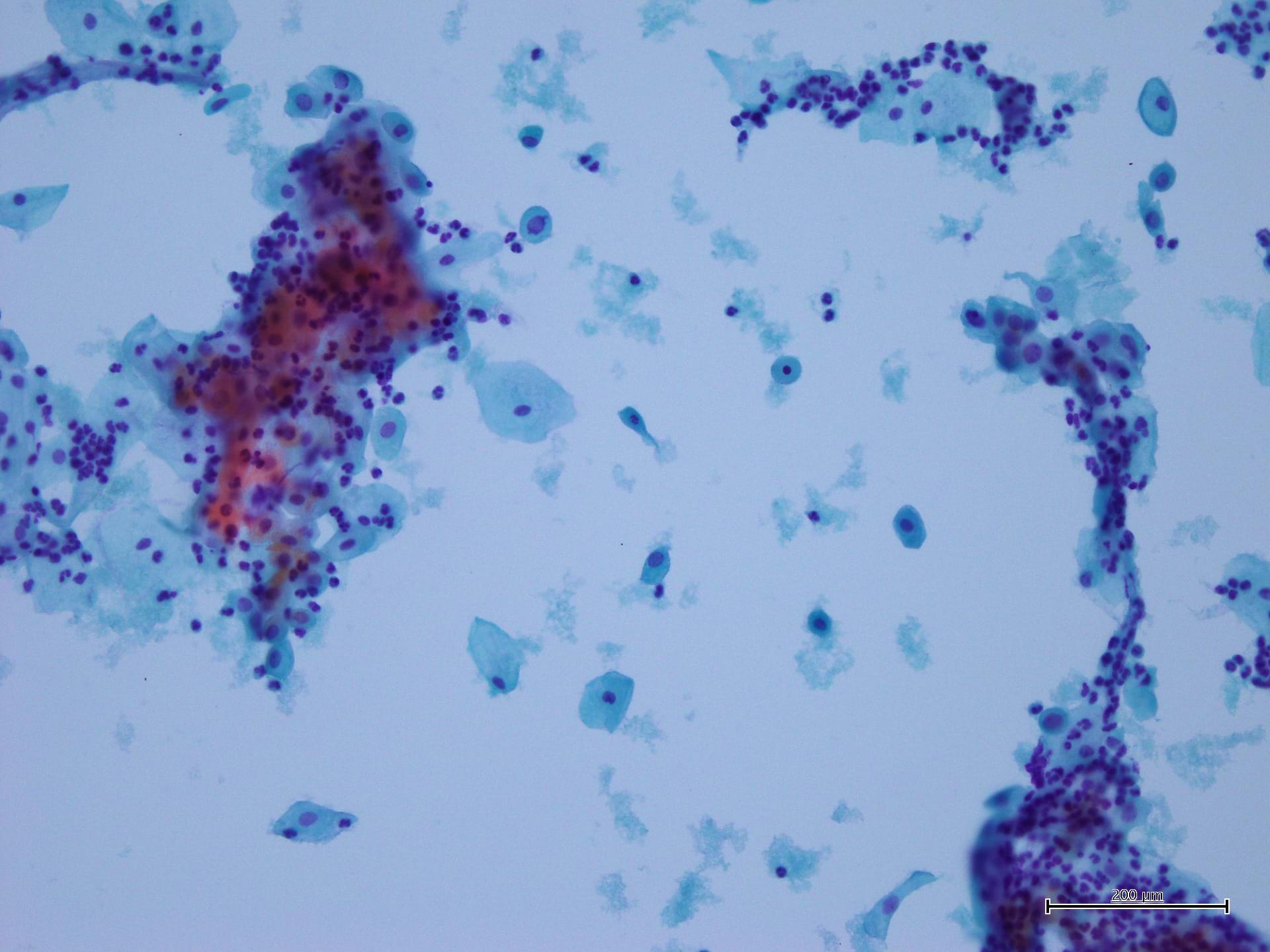
La colorazione Papanicolaou è una colorazione policroma per campioni citologici (sia di provenienza ginecologica che non ginecologica). Il metodo si basa su una colorazione nucleare a base acquosa e su due colorazioni citoplasmatiche a base alcolica. L'ematossilina viene normalmente utilizzata per la colorazione blu-violacea dei nuclei, OG6 e EA50 come coloranti del citoplasma. OG6 è la soluzione colorante che evidenzia il citoplasma nelle cellule e aree cheratinizzate. EA50 è una soluzione policroma che consente la differenziazione specifica dei citoplasmi delle cellule squamose epiteliali.

Il nuovo servizio Send & Choose di Diapath consente di scegliere la combinazione più adatta alle tue esigenze e a quelle del tuo laboratorio, attraverso 4 semplici step.

1. COMPLETA :
Compila il form e scegli la combinazione H&E PAP che vuoi provare

2. INVIA:
Metti i tuoi vetrini in una scatola e attendi il corriere
* Per campioni citologici (strisci o spot monostrato) fissarli con fissativo spray prima di inviarli

3. TESTATO PRESSO LA SEDE DIAPATH:
Vetrini colorati con l’affidabile soluzione colorante H&E PAP garantita Diapath

4. SCEGLI:
Una volta ricevuti i vetrini colorati, analizzali e scegli la migliore combinazione H&E PAP per le necessità del tuo laboratorio

I vantaggi per te:

QUALITÀ NELLA DIAGNOSI
Diverse gradazioni di intensità per colorazioni nucleari e citoplasmatiche di alta qualità

FORMULA TESTATA
Soluzioni ottimizzate per garantire un miglioramento costante

VARIETÀ DI SOLUZIONI
Possibilità di scegliere combinazioni più adatte a specifiche esigenze

PRONTO ALL’USO
Soluzioni pronte all’uso

Ematossiline Diapath
Forte*
Medio *
Delicata *
* scala di valori indicativa direttamente proporzionale alla concentrazione di Ematossilina in gr. Il risultato finale è strettamente dipendente dalla tipologia e dalla durata del viraggio
Ematossilina
di Mayer
Ematossilina
di Mayer
Colorante nucleare pronto uso per colorazioni regressive. Utilizzata talvolta nelle progressive dove è necessaria una controcolorazione nucleare per enfatizzare la componente citoplasmatica. Tempo di colorazione breve e differenziazione con acqua di fonte.
Tempo di colorazione Istologia: 5’ – 10’ Packaging C0302: 500mL, C0303:1Lt, C0305:2.5Lt, C0306: 5Lt
Ematossilina di Harris
per istologia
Ematossilina di Harris
per istologia
Colorante nucleare chiaro pronto uso. Utilizzato sia nelle colorazioni istologiche regressive che progressive
Tempo di colorazione Istologia: 3’ – 7’ Packaging C0282: 500mL, C0283:1Lt, C0285:2.5Lt, C0286: 5Lt
Cytopath Ematossilina
Harris
Cytopath Ematossilina
Harris
Soluzione pronta uso per la colorazione blu dei nuclei in associazione con i coloranti citoplasmatici OG6 ed EA50.
Tempo di colorazione Citologia: 1' - 3' Packaging CP502: 500mL, CP503:1Lt, CP506:5Lt
Ematossilina
di Carazzi
Ematossilina
di Carazzi
Soluzione pronta uso per colorazioni regressive. Come l'ematossilina di Mayer, si può usare come controcolorazione nucleare progressiva. Tempo di colorazione breve, seguito da differenziazione con acqua di fonte.
Tempo di colorazione Istologia: 5’ – 10’ Packaging C0203: :1Lt, C0206: 5Lt
Ematossilina Gill I
Ematossilina Gill I Caratterizzata da una concentrazione modesta di ematossilina. Soluzione pronta uso utilizzata come colorazione progressiva. Il colore del nucleo assume una tonalità tipicamente violacea.
Tempo di colorazione Citologia: 1' - 5' Packaging CP813:1Lt, CP815:2.5Lt, CP816:5Lt
Ematossilina Gill II
Ematossilina Gill II Caratterizzata da una concentrazione media di ematossilina. Soluzione pronta uso per istologia e citologia
Tempo di colorazione Istologia: 3’ – 5’ Citologia: 1' - 3’ Packaging CP813:1Lt, CP815:2.5Lt, CP816: 5Lt
Ematossilina Gill III
Ematossilina Gill III Caratterizzata da una concentrazione elevata di ematossilina. Soluzione pronta uso che consente di ottenere colorazioni nucleari intense in tempi brevi. Particolarmente indicata per colorazioni intraoperatorie.
Tempo di colorazione Istologia: 1' - 3' Citologia: 2' - 3' Packaging CP823:1Lt, CP825:2.5Lt, CP826: 5Lt
Eosina Diapath e PAP EA50 – OG6
Forte*
Medio *
Delicata *
* scala di valori indicativa, strettamente dipendente dai passaggi di disidratazione post eosina
Eosina G o Y alcolica 0,5%
Eosina G o Y alcolica 0,5% Colorante citoplasmatico pronto uso a base alcolica debolmente acido che consente di distinguere, mediante una caratteristica differenziazione di tonalità dal rosso al rosa chiaro
Tempo di colorazione Istologia: 3’ – 5’ Packaging C0352: 500mL, C0353:1Lt, C0355:2.5Lt, C0356: 5Lt
Eosina G o Y policromatica acquosa 1%
Eosina G o Y policromatica acquosa 1% Colorante citoplasmatico pronto uso a base acquosa che consente di distinguere, mediante una caratteristica differenziazione colorativi dal rosso al rosa chiaro
Tempo di colorazione Istologia: 2’ – 5’ Packaging C0362: 500mL, C0363:1Lt, C0365:2.5Lt, C0366: 5Lt
Eosina-Floxina
Eosina-Floxina Colorante citoplasmatico pronto uso leggermente acido. Costituito da una miscela di polvere di eosina e floxina in soluzione alcolica. Permette di ottenere una colorazione citoplasmatica più intensa rispetto all’eosina
Tempo di colorazione Istologia: 1’ – 5’ Packaging C0343:1Lt, C0345:5Lt
EA50
EA50 Colorante citoplasmatico a base alcolica, pronto all'uso, che consente la differenziazione specifica dei citoplasmi delle cellule squamose epiteliali
Tempo di colorazione Citologia: 2:30' Packaging CP602:500ml, CP603:1Lt, CP605:2,5Lt, CP606:5Lt
OG6
OG6 Colorante citoplasmatico a base alcolica, pronto all'uso, che evidenzia il citoplasma nelle cellule e aree cheratinizzate.
Tempo di colorazione Citologia: 00:40'' Packaging CP702:500ml, CP703:1Lt, CP705:2,5Lt, CP706:5Lt
Compila il modulo
1 Dati aziendali 2 Selezione vetrini 3 Dati ritiro
avanti
Carica file Max 5MB
indietro
avanti
Aggiungi caso
TOTALE
Legenda AEmatossilina di Mayer BEmatossilina di Harris per istologia CCytopath Ematossilina Harris DEmatossilina di Carazzi EEmatossilina Gill I FEmatossilina Gill II GEmatossilina Gill III
1Eosina G o Y alcolica 0,5% 2Eosina G o Y policromatica acquosa 1% 3Eosina-Floxina 4OG6-EA50
ATTENZIONE: I Vetrini consegnati non dovranno riportare alcun dato sensibile riconducibile ad un soggetto, dovranno riportare solo ed esclusivamente l’indicazione del tipo di tessuto e lo spessore della sezione (es. carcinoma infiltrante della mammella - 3µm).
E’ possibile inviare un massimo di 5 vetrini per caso. I vetrini colorati verranno utilizzati esclusivamente per esprimere da parte vostra una valutazione del risultato delle diverse combinazioni di ematossilina-eosina PAP scelte come da tabella sopra e non avranno alcun scopo diagnostico.
Si richiede che venga spedito un vetrino colorato per ogni combinazione scelta. In caso i vetrini non vengono correlati dagli stessi già colorati, la richiesta non sarà presa in carico.
indietro
avanti
Cm
Cm
Cm
Kg

La società DIAPATH S.p.A. ad utilizzare le immagini delle colorazioni ottenute con i vetrini inviati, per fini commerciali e di marketing, in forma cartacea, elettronica, web o su piattaforme social e senza limitazioni territoriali, rinunciando sin d’ora a qualsiasi pretesa, rivalsa ovvero azione inibitoria.

La società DIAPATH S.p.A. al trattamento dei propri dati personali anche allo scopo di ottemperare al rapporto contrattuale in essere come da Informativa ai sensi dell’art.13 del Regolamento UE n.679/2016 del 27 aprile 2016.

La società DIAPATH S.p.A. al trattamento dei dati per qualsiasi attività di marketing/promozione dei prodotti del Titolare, attività finalizzate all’analisi delle abitudini e delle scelte di consumo, attività inerenti l’elaborazione di studi e ricerche di mercato, invio di informazioni e/o materiale inerente i propri prodotti come da Informativa ai sensi dell’art.13 del Regolamento UE n.679/2016 del 27 aprile 2016.

Tutte le informazioni e i dati contenuti in questa area, sono da considerarsi riservate e confidenziali e pertanto è vietata la divulgazione e la pubblicazione dei suddetti dati ed informazioni a terze parti. L’utente si impegna quindi a tenere il riserbo su tutte le informazioni ed i dati di cui verrà a conoscenza nel corso della consultazione, a conservarle con misure di sicurezza e un grado di attenzione non inferiori a quelli applicati alle proprie informazioni riservate. L’accesso a questa area presuppone la piena e completa accettazione delle condizioni riportate; Diapath si riserva pertanto di perseguire tutti i trasgressori secondo la normativa vigente e di chiedere il risarcimento di tutti i danni patiti e patiendi.

indietro